Missão
Prestar serviço de diagnóstico facial aos profissionais da área da saúde, oferecendo suporte ao tratamento clínico por meio de exames de alta qualidade e resultados confiáveis, buscando sempre investir no aprimoramento dos serviços e na satisfação dos nossos clientes, pacientes, colaboradores e associados.
Visão
Ser referência como centro de diagnóstico em termos de inovação, qualidade e eficiência na prestação de serviços, assim como pela humanização dos atendimentos e pela satisfação dos clientes e colaboradores. Expandir nossa rede de atendimento de maneira a oferecer a seus usuários e associados as melhores condições de trabalho, proporcionando desenvolvimento e promoção da saúde.

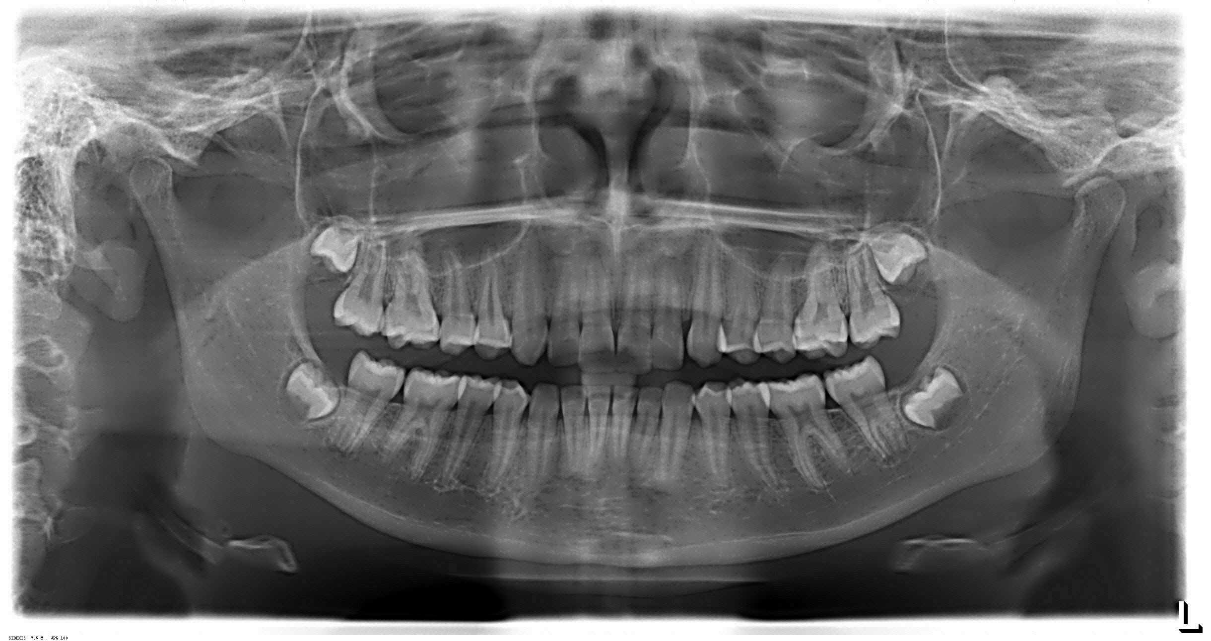
Radiografias Digitais
- Raio X Panorâmico
- Telerradiografia
- Periapicais
- Interproximais
- Levantamento Periapical
- Radiografia de ATM (Boca Aberta e Fechada)
- Radiografia de Mão e Punho (Idade Óssea)
Documentações

- Radiografias Digitais com Laudos e Análises
- Modelos em Gesso
- Fotografias Intra-Orais e Extra-Orais

